티스토리 뷰

결핵은 수세기 동안 인류를 괴롭혀 왔으며, 그 표면 아래에 조용한 위협을 숨겨왔습니다. 이 블로그에서는 결핵의 본질, 전염 방식, 예방과 치료에 필요한 중요한 단계들에 대해 자세히 알아봅니다.
교활한 범인: 결핵의 이해
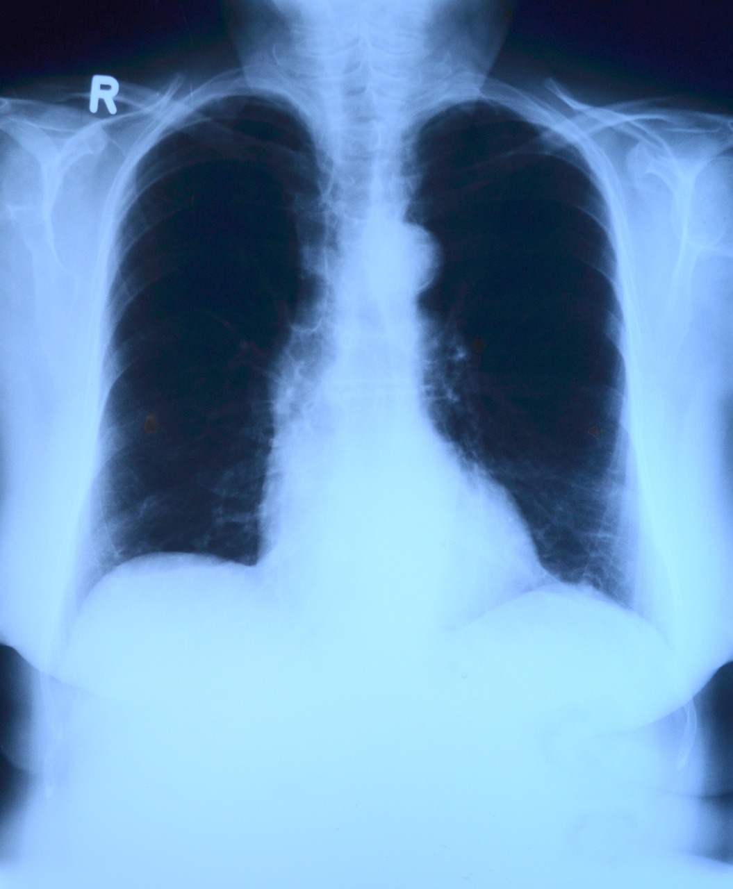
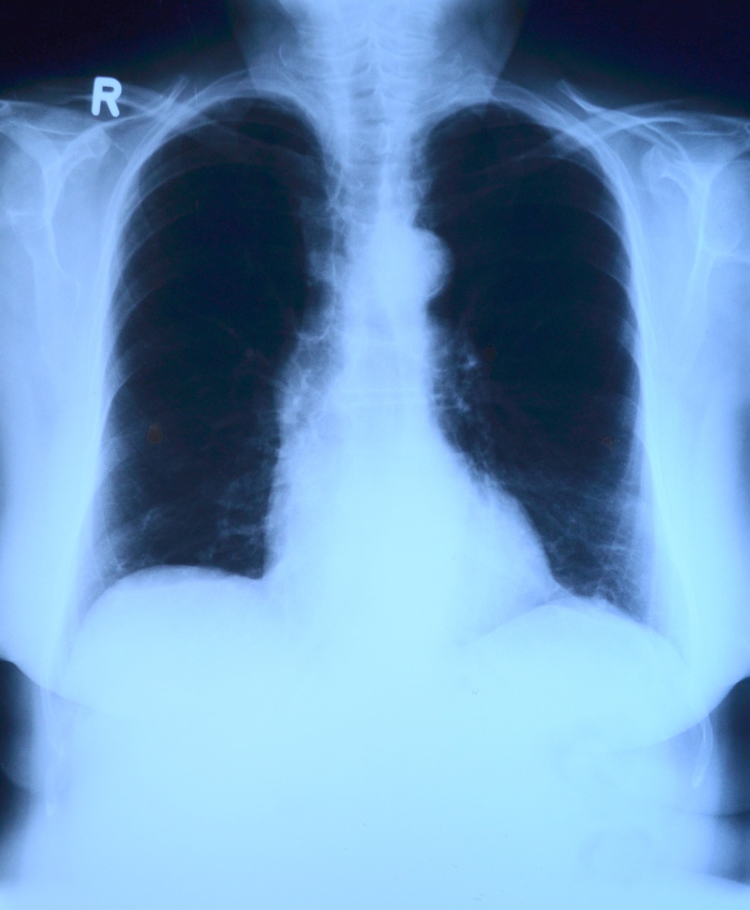
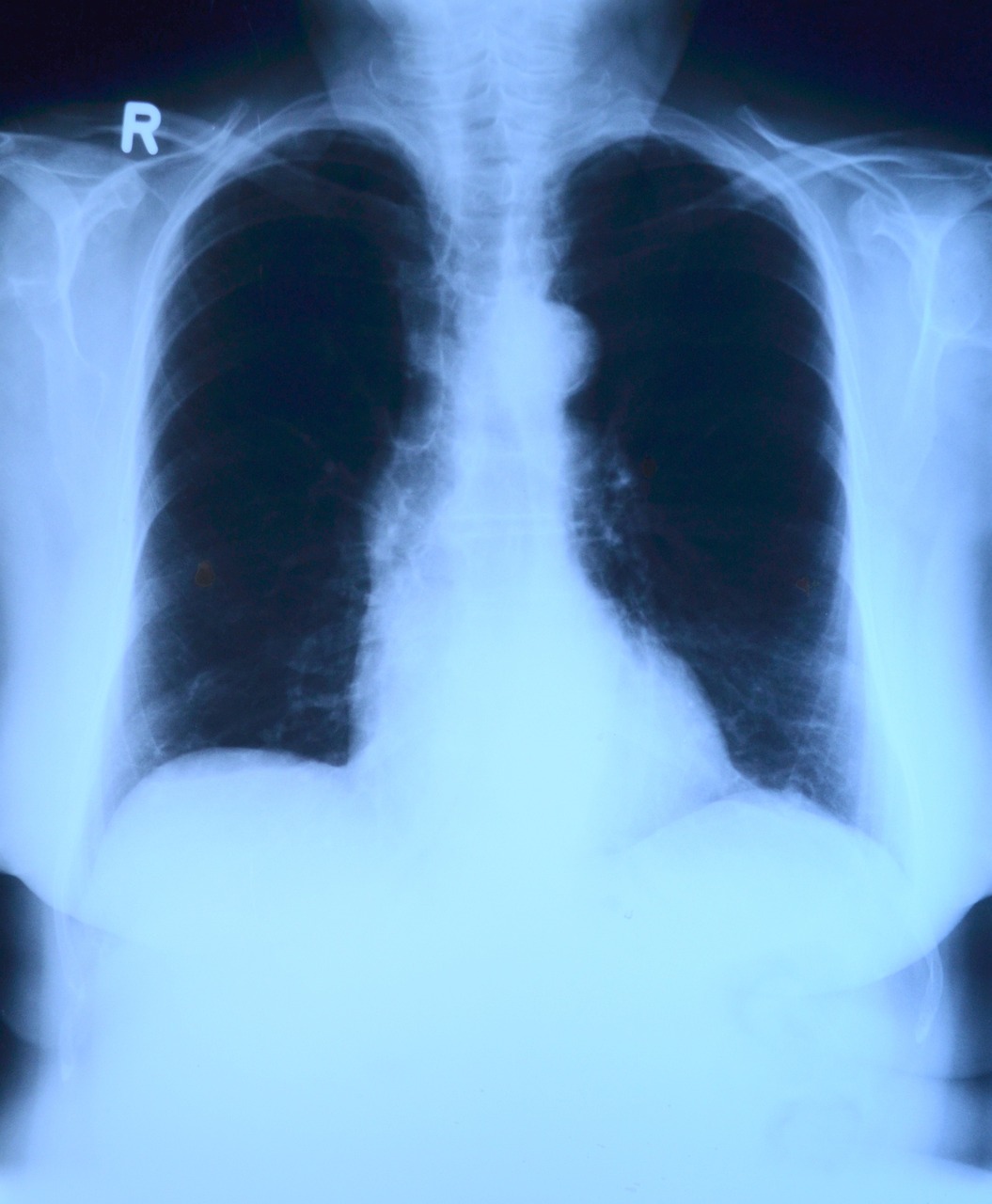
결핵균에 의해 유발되는 결핵은 주로 폐에 영향을 미치지만 다른 장기에 잠재적인 영향을 미치는 전염병입니다. 종종 기침이나 재채기를 통해 공기 중으로 전염되는 것은 결핵의 확산을 촉진합니다. 초기 증상은 경미할 수 있어 조기 발견이 어렵습니다. 그러나 시기적절한 식별과 치료가 진행을 중단시키는 데 가장 중요합니다. 결핵의 복잡성은 덜 심각한 상태를 모방하여 진단을 지연시키는 능력에 있습니다. 일단 감염되면, 사람들은 자신도 모르게 그 병을 퍼뜨릴 수 있으며, 결핵의 미묘한 징후를 인식하는 것의 중요성을 강조합니다. 결핵의 찾기 어려운 특성을 인정하면, 우리는 종합 검진과 공중 보건 교육을 우선시하여 보다 신속한 개입을 가능하게 합니다.
세계적인 과제: 결핵이 공중 보건에 미치는 영향
결핵은 환경적 요인, 영양 결핍 및 제한된 의료 서비스가 결핵의 영향을 악화시키는 개발도상국에 불균형적으로 영향을 미치며 전 세계 보건에 심각한 위협이 됩니다. 상호 연결된 세계는 국경 간 결핵의 급속한 확산을 촉진합니다. 이러한 시스템적 문제를 해결하기 위해 의료 자원 및 연구에 대한 공평한 접근의 필요성을 강조하는 국제적 협력이 시급합니다. 결핵 퇴치를 위해서는 선진국과 개도국 간 의료격차 해소를 위한 공동의 노력이 필요합니다. 의료 인프라를 강화하고, 광범위한 백신 접종을 촉진하며, 접근 가능한 치료제 연구를 촉진하는 것이 중요한 조치입니다. 우리는 국제적으로 하나가 되어야만 만연한 결핵 위협에 효과적으로 대처할 수 있습니다. 또한, 연구에 대한 글로벌한 의지도 필요합니다. 보다 효과적인 신약과 치료제의 개발은 단순한 과학적 노력이 아니라 인도주의적 노력입니다. 연구기관과 정부, 제약업계가 협력하면 혁신적인 설루션의 발굴과 배치를 가속화하여 결핵 치료와 예방의 지형을 재정의할 수 있습니다.
예방과 희망 결핵 퇴치
결핵을 예방하고 통제하기 위해서는 다각적인 접근법이 필요합니다. 백신 접종은 감염된 사람과의 접촉을 피하고 환경 위생을 견고하게 유지함으로써 뒷받침되는 초석으로 남아 있습니다. 효과적인 치료를 위해서는 광범위한 검사를 통해 조기 진단을 용이하게 하는 것이 중요합니다. 지역사회에 이러한 예방책을 교육하는 것은 개인이 질병 확산을 억제하는 데 적극적으로 참여할 수 있는 권한을 부여합니다. 희망의 영역에서 연구와 혁신은 중추적인 역할을 합니다. 새로운 치료법을 개발하고 기존 치료법을 개선하는 데 지속적인 투자는 결핵에 대한 보다 포괄적인 도구 세트를 보장합니다. 또한, 건강에 대한 인식과 책임감을 갖는 세계적인 문화를 조성하는 것은 장기적인 질병 통제에 기여합니다. 결핵을 극복하기 위한 여정은 지속적인 노력이 필요하지만, 더 건강한 미래의 가능성은 우리의 공동 손아귀에 있습니다. 그러나 예방만으로는 문제를 완전히 잠재울 수 없으며, 우리의 시선도 고급 진단 및 치료 접근성에 기반을 둔 희망의 영역으로 향해야 합니다. 조기 진단은 결핵과의 싸움에서 중요한 요소입니다. 따라서 신속하고 정확한 진단 도구의 개발 및 배포에 대한 투자가 무엇보다 중요합니다. 의료 공급자, 특히 자원이 제한된 환경에서 신속하게 식별하고 치료를 시작하는 수단으로 힘을 실어주는 것은 흐름을 바꾸기 위한 가시적인 단계입니다.
결론
결핵은 강력하기는 하지만 집단적인 노력과 경계심에 굴복하고 있습니다. 우리가 인식을 높이고 전략적 조치를 취하면서, 우리는 이 지속적인 도전을 극복하는 데 더 가까워지고 있습니다. 우리의 회복력과 지구 복지에 대한 헌신을 증명하는 지속적인 건강과 행복이 앞으로 다가올 날들을 기념하기를 바랍니다. 결핵이 없는 세상을 추구하기 위해서는 국가와 공동체의 상호 연결성을 인정하는 것이 필수적입니다. 이 음험한 질병의 영향은 개별 사례를 훨씬 넘어 사회의 기본 구조에 스며들어 있습니다. 따라서 우리의 대응은 형평성, 접근성, 연민의 원칙에 따라 국경을 초월해야 합니다. 이는 정치적 차이를 뛰어넘는 국제적 파트너십, 자원, 지식, 전문 지식을 통합하여 글로벌 의료 시스템을 강화하는 것을 요구합니다.